ĐIỀU TRỊ BÓC TÁCH ĐỘNG MẠCH THẬN NGUYÊN PHÁT TẠI BỆNH VIỆN ĐẠI HỌC Y HÀ NỘI
THS. BSNT Nguyễn Thái Bình*, PGS. TS Trần Ngọc Ánh**, THS. BSNT Đỗ Xuân Mạnh**, THS. BSNT Hoàng Thị Thu Huyền**
*Khoa Chẩn đoán hình ảnh – Bệnh viện Đại học Y Hà Nội – Bộ môn Chẩn đoán hình ảnh – Trường Đại học Y Hà Nội
**Khoa Nội tổng hợp – Bệnh viện Đại học Y Hà Nội
Tóm tắt: Bóc tách động mạch nguyên phát là bệnh lý rất hiếm gặp, ít được mô tả trong y văn. Bệnh thường được phát hiện khi bệnh nhân đến khám với triệu chứng đau bụng hoặc hông lưng, đái máu, tăng huyết áp do hậu quả nhồi máu thận. Hình ảnh siêu âm thận hoặc Doppler mạch thận thường không điển hình và việc chẩn đoán phải dựa trên chụp cắt lớp vi tính (CT) có tiêm thuốc cản quang. Chụp mạch thận sẽ giúp khẳng định chẩn đoán và giúp can thiệp đặt stent tái lập lưu thông. Phẫu thuật hoặc được đặt ra khi can thiệp thất bại thông mạch. Trước và sau can thiệp, bệnh nhân được dùng thuốc chống ngưng tập tiểu cầu hoặc chống đông ít nhất 6 tháng
Từ khóa: nhồi máu, bóc tách, động mạch, thận.
Ca lâm sàng
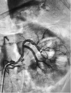
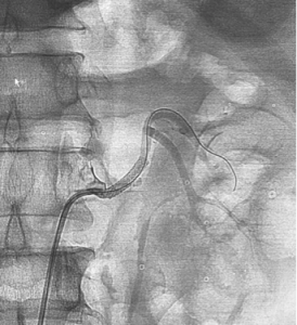
Bệnh nhân (BN) nam 53 tuổi, vào viện vì đau hông lưng trái đột ngột. Tiền sử: THA – rối loạn lipid máu điều trị không đều. Bệnh nhân đau hông lưng trái lan ra trước từng cơn 4 ngày, kèm tiểu buốt, tiểu máu, không sốt. Bệnh nhân nhập viện trong tình trạng da, niêm mạc bình thường, HA: 120/70mmHg, nhiệt độ 36,5 độ C, vỗ hông lưng (-), bụng mềm, các bộ phận khác không có gì đặc biệt. Xét nghiệm máu Ure 6,2 mmol/l, creatinin 155 µmol/l, AST/ALT 70/96 U/l, máu lắng tăng (giờ 1: 75mm, giờ 2: 87mm); nước tiểu có protein niệu, không có hồng cầu, bạch cầu; các xét nghiệm khác, siêu âm bụng, X quang phổi bình thường. BN được chỉ định chụp CT ổ bụng có tiêm cản quang, trên phim chụp CT bụng thấy hình ảnh hai động mạch thận trái, động mạch trước bể tách cao hơn và có hình ảnh bóc tách ở vị trí 1/3 giữa, có lòng giả, thành động mạch sau vị trí bóc tách dày do huyết khối trong thành, nhu mô 1/3 trên kém ngấm thuốc do thiếu máu, có vài ổ hoại tử không ngấm thuốc cản quang kích thước dưới 10mm (hình 1). Động mạch sau bể tách thấp hơn, thành mạch và lòng mạch bình thường, không có hình ảnh thiếu máu cực dưới thận. BN được điều trị nội khoa 3 ngày với Aspirin 81mg/ngày, clopidogrel (Plavix) 75mg/ngày, rosuvastatin (Crestor) 10mg/ngày, paracetamol 1g/ngày. Chụp mạch số hoá xoá nền động mạch thận cho thấy thấy hình ảnh tương tự với cắt lớp vi tính, điểm bóc tách của động mạch trước bể bắt đầu từ cách gốc 10mm, kéo dài khoảng 15 mm gây hẹp lòng thật, lòng giả còn lưu thông thuốc cản quang kích thước khoảng 3x2mm. Tiến hành can thiệp đặt một stent Biomine 4 x 19mm qua đoạn mạch thận tổn thương (hình 2). Sau đặt stent 1 ngày, BN không đau thắt lưng, không rối loạn tiểu tiện, thăm khám các bộ phận không thấy bất thường; xét nghiệm ure: 6,4 mmol/l, creatinin 115 µmol/l, AST/ALT 81/136 U/l, tổng phân tích nước tiểu bình thường. BN ra viện tiếp tục dùng clopidogrel/ aspirin (Duoplavin) 75/100mg/ngày, Crestor 10mg/ngày. Sau 1 tháng, BN tái khám, xét nghiệm ure 5,7mmol/l, creatinin 119 µmol/l, AST/ALT 36/56 U/L, hình ảnh chụp CT ổ bụng có tiêm cản quang thấy động mạch thận trái lưu thông tốt và Stent nở hoàn toàn, không thấy lòng giả, nhu mô thận thuộc vùng cấp máu của động mạch trước bể hồi phục gần hoàn toàn (hình 3).
![]() Hình 1: Hình ảnh CLVT:bóc tách nhánh trên động mạch thận trái |
![]() Biến thể hai động mạch thận trái |
![]() Hình 2: Đặt stent động mạch thận vị trí bóc tách |
![]() Đặt stent động mạch thận vị trí bóc tách |

Hình 3: Chụp CLVT kiểm tra sau 1 tháng can thiệp
Bàn luận
Nhồi máu thận hiếm gặp, chỉ chiếm 0,007% bệnh nhân khám cấp cứu trong đó nhồi máu do bóc tách động mạch thận nguyên phát rất hiếm gặp, chỉ có khoảng 200 ca được mô tả trong y văn [10], việc chẩn đoán cũng gặp khó khăn và chậm trễ do biểu hiện lâm sàng không đặc hiệu [10]. Tuổi trung bình thường gặp là 63,5±15,42 tuổi. 23,6% bệnh nhân kèm theo đái tháo đường, 56,2% kèm theo tăng huyết áp [9]. Nhồi máu thận là kết quả của tình trạng hẹp hoặc tắc nghẽn động mạch hoặc tĩnh mạch thận. Về bệnh lý, nhồi máu thận biểu hiện bằng tình trạng xẹp cầu thận, hoại tử ống thận dẫn tới giảm mức lọc cầu thận, mất chức năng ống thận. Trong ổ nhồi máu thận, sự tái tưới máu làm rối loạn chức năng nội mô gây tăng tiết cytokin và làm các bạch cầu xâm nhập vào. Sự tái tưới máu còn dẫn tới tăng sản xuất nitric oxide và các chất gây oxi hóa làm hủy hoại tổ chức, làm giảm khả năng tự điều hòa lưu lượng máu thận. Ở thận bình thường, 1 giờ sau khi nhồi máu, chức năng thận giảm 70-80%; 2h sau nhồi máu thận, chức năng thận tăng 30-50% giá trị nền và có thể phục hồi trong vài tuần; nghiên cứu thực nghiệm gây tắc nghẽn hoàn toàn thận thì thận mất khả năng hồi phục hoàn toàn sau 3-4 giờ.
Các nguyên nhân chủ yếu gây nhồi máu thận là do các bệnh lý tim mạch (rung nhĩ, nhồi máu cơ tim, bệnh van tim) gây hình thành cục máu đông, bít tắc động mạch thận. Tổn thương động mạch thận cũng có thể gây nhồi máu thận mặc dù rất hiếm như bóc tách động mạch thận, chấn thương động mạch thận, một số trường hợp có bệnh lý tăng đông máu (thiếu hụt protein C, protein S, bệnh hệ thống, dùng thuốc tránh thai…)[2, 9]. Bệnh thường biểu hiện triệu chứng đau bụng, đau mạng sườn hoặc đau vùng hông lưng đột ngột, liên tục, đái máu, tăng huyết áp, rối loạn nhịp tim, buồn nôn, nôn, thiểu niệu hoặc vô niệu. Trên xét nghiệm, bệnh nhân nhồi máu thận thấy protein niệu, hồng cầu niệu, tăng ALT, LDH, CK (do hoại tử), CRP tăng và có thể biểu hiện suy thận (tăng creatinin, ure) [2,3, 6]. Nhồi máu thận dễ nhầm lẫn với một số bệnh lý như sỏi thận, một số bệnh đường ruột (như nhồi máu mạc treo), bệnh cột sống, viêm cơ, bệnh mạch vành. Siêu âm thường được sử dụng ban đầu để đánh giá do dễ áp dụng; nhồi máu thận biểu hiện trên siêu âm Doppler là vùng giảm tưới máu một phần hoặc hoàn toàn, tình trạng giảm tưới máu có thể thấy ở động mạch thận hoặc hiếm hơn ở tĩnh mạch thận nếu nhồi máu tĩnh mạch; dù vậy, siêu âm có độ nhạy không cao (chỉ 11% [12]). Chụp CT là lựa thăm dò được lựa chọn tiếp theo để chẩn đoán xác định và chẩn đoán phân biệt, chụp CT không tiêm cản quang giúp phát hiện sỏi niệu quản do tính phổ biến hơn nhồi máu thận. Nếu không có bằng chứng bệnh sỏi thận trên hình ảnh chụp CT xoắn ốc không tiêm thuốc cản quang thì CT tiêm thuốc cản quang cần được lựa chọn để phát hiện nhồi máu thận (độ nhạy 80% và xác định nguyên nhân [12]). Mặc dù, chụp CT tiêm cản quang có khả năng phát hiện nhồi máu thận cao hơn hẳn siêu âm, nhưng bệnh nhân có nguy cơ mắc bệnh thận do thuốc cản quang với các bệnh nhân có mức lọc cầu thận dưới 30ml/phút. Trong hợp bệnh nhân có bệnh thận mạn tính trước đó hoặc có chống chỉ định tiêm thuốc cản quang (dị ứng) thì siêu âm là lựa chọn an toàn [13]. Với những ổ nhồi máu thận nhỏ khó phát hiện trên siêu âm hoặc chụp CT tiêm cản quang, chụp cộng hưởng từ hoặc xạ hình thận có khả năng phát hiện vùng giảm tưới máu hơn so với vùng thận lành, độ nhạy 97% [12, 14].
Chụp mạch thận là thủ thuật xâm lấn cho phép chẩn đoán xác định nguyên nhân do động mạch thận và điều trị can thiệp. Việc sử dụng phương pháp này cho chẩn đoán đơn thuần nên hạn chế vì tính chất xâm lấn của thủ thuật cũng như do khả năng chẩn đoán của các phương tiện chẩn đoán hình ảnh khác như CLVT, CHT có độ nhạy và độ đặc hiệu rất cao [12]. Thời gian phát hiện nhồi máu thận trung bình thường sau hơn 2 ngày, khoảng 50% số ca bệnh được chẩn đoán sớm. Mặc dù, trên thực nghiệm, thận bị nhồi máu thường mất chức năng hoàn toàn sau 4h, nhưng thực tế cho thấy nhiều trường hợp, thận phục hồi sau vài tuần, điều này có thể giải thích rằng mạch thận tắc nghẽn không hoàn toàn hoặc tuần hoàn bàng hệ giúp thận hồi phục. Về điều trị, hiện tại chưa có phác đồ chính thức đối với nhồi máu thận do đây là bệnh hiếm gặp, khó thực hiện nghiên cứu thử nghiệm lâm sàng [15]. Bệnh nhân bóc tách động mạch thận khi được phát hiện sẽ được điều trị chống đông hoặc chống ngưng tập tiểu cầu nhằm tránh huyết khối hình thành thứ phát cũng như chuẩn bị cho can thiệp mạch đặt stent [12, 16]. Đối với việc sự dụng thuốc chống đông, ngay sau khi có chẩn đoán xác định bệnh nhân được dùng heparin tĩnh mạch (cố gắng đạt thời gian thrompoplastin hoạt hóa 1,5-2 lần bình thường) hoặc heparin trọng lượng phân tử thấp trước khi cho chống đông đường uống (với mục tiêu INR từ 2 – 3). Điều trị can thiệp mạch có hiệu quả điều trị cao với nhóm bệnh lý nhồi máu do tổn thương động mạch thận nhằm tạo hình mạch và đặt stent để tái lập lưu thông mạch. Phẫu thuật thường chỉ định chủ yếu trong các trường hợp chấn thương đứt hoàn toàn cuống thận [16]. Sau khi tái lập lưu thông mạch thận, bệnh nhân cần được điều trị dự phòng huyết khối tái phát bằng việc kiểm soát các yếu tố nguy cơ tim mạch kèm theo (aspirin, statin, kiểm soát huyết áp, kiểm soát đường máu nếu có đái tháo đường kèm theo). Tiên lượng đối với nhồi máu thận, 11,4% tử vong trong tháng đầu, theo dõi dài hạn có 61% chức năng thận phục hồi, 31% suy thận (creatinin >133µmol/l) trong đó 8% suy thận cần lọc máu; 13% huyết khối tái phát [17].
Bóc tách động mạch thận tiên phát được mô tả khoảng 200 trường hợp theo y văn, với tỷ lệ nam:nữ là 4:1, tuổi thường gặp từ 33-55 tuổi, tổn thương cả 2 bên chiếm 10-15% số trường hợp, không có bằng chứng cho thấy người có một thận có nguy cơ mắc cao hơn [7]. Một số bệnh lý có thể phối hợp với SRAD gồm tăng huyết áp ác tính, xơ vữa mạch, viêm động mạch do giang mai, loạn sản cơ, hội chứng Marfan.. nhưng không có bằng chứng rõ ràng. Bệnh được phát hiện khi bệnh nhận đến khám tăng huyết áp hay đến khám với triệu chứng đau hông lưng do nhồi máu thận. Hình ảnh trên siêu âm hay Doppler mạch thận thường ít điển hình . Chụp cắt lớp vi tính tiêm thuốc cản quang sẽ giúp phát hiện bóc tách động mạch thận và biến chứng nhồi máu thận. Chụp mạch thận giúp đánh giá mức độ tổn thương mạch và định hướng can thiệp [1, 4].
Quan điểm về điều trị nhồi máu thận do huyết khối từ cơ quan khác hay bóc tách động mạch thận chưa chắc chắn, hiện cũng chưa có nghiên cứu so sánh.
Về điều trị nhồi máu thận do bóc tách động mạch thận tiên phát, bệnh nhân được sử dụng thuốc (kiểm soát huyết áp, giảm đau, chống ngưng tập tiểu cầu hoặc heparin) và tái lập lưu thông bằng phẫu thuật nếu hoặc can thiệp mạch nếu chức năng thận còn tốt (đặt stent hoặc nong) [3, 1, 4, 7, 8]. Điều trị phẫu thuật gồm cắt động mạch và cắt thận. Hiện nay, can thiệp nội mạch là phương pháp được lựa chọn ưu tiên do có tính an toàn và hiệu quả. Tuy nhiên, nếu điều trị nội khoa và can thiệp mạch thất bại, bệnh nhân cần được phẫu thuật tại cơ sở y tế có khả năng [8, 5]
Kết luận: Nhồi máu thận do bóc tách động mạch thận thường gặp ở nam giới tuổi trung niên. Bệnh nhân thường đến khám với triệu chứng đau bụng hoặc thắt lưng cấp. CT hay MRI giúp chẩn đoán sớm và giúp đánh giá hình thái động mạch thận và vùng nhồi máu thận. Chụp động mạch thận kết hợp đặt stent là phương pháp tái lập lưu thông tốt nhất. Phẫu thuật được đặt ra khi thất bại can thiệp mạch và điều trị nội khoa.
Tài liệu tham khảo



